
BỆNH THỦY ĐẬU Ở TRẺ EM: BIỂU HIỆN VÀ CÁCH PHÒNG NGỪA
Bệnh thủy đậu là một bệnh truyền nhiễm cấp tính do Virus gây ra, bệnh lưu hành quanh năm trên phạm vi cả nước. Ai cũng có nguy cơ bị thủy đậu nhưng trẻ…
Read more
Bệnh thủy đậu là một bệnh truyền nhiễm cấp tính do Virus gây ra, bệnh lưu hành quanh năm trên phạm vi cả nước. Ai cũng có nguy cơ bị thủy đậu nhưng trẻ…
Read more
Sốt xuất huyết là một loại bệnh truyền nhiễm cấp tính do vi rút Dengue gây ra. Đây là bệnh giao mùa hè thu nguy hiểm, thường bùng phát sau các đợt mưa lớn…
Read more
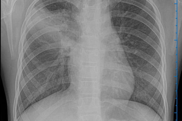
Gần đây, khoa Nhi Bệnh viện Đa khoa Quốc Tế Hải Phòng – Vĩnh Bảo tiếp nhận nhiều trường hợp bệnh Nhi bị viêm phổi do Mycoplasma với các triệu chứng không…
Read more
Vừa qua, Khoa Nhi Bệnh viện Đa khoa Quốc tế Hải Phòng – Vĩnh Bảo tiếp nhận nam bệnh nhi 14 tuổi ở Nhân Hoà, Vĩnh Bảo, Hải Phòng vào viện vì hoa mắt, chóng…
Read more
Vừa qua, Bệnh viện Đa khoa Quốc tế Hải Phòng – Vĩnh Bảo tiếp nhận một trường hợp bệnh nhân nhi nam 4 tuổi vào viện vì nuốt nhầm viên pin cúc áo. Tại Bệnh…
Read more